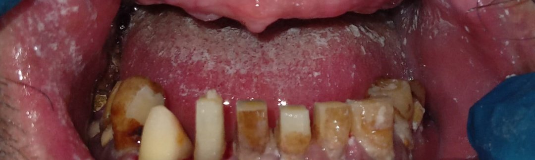
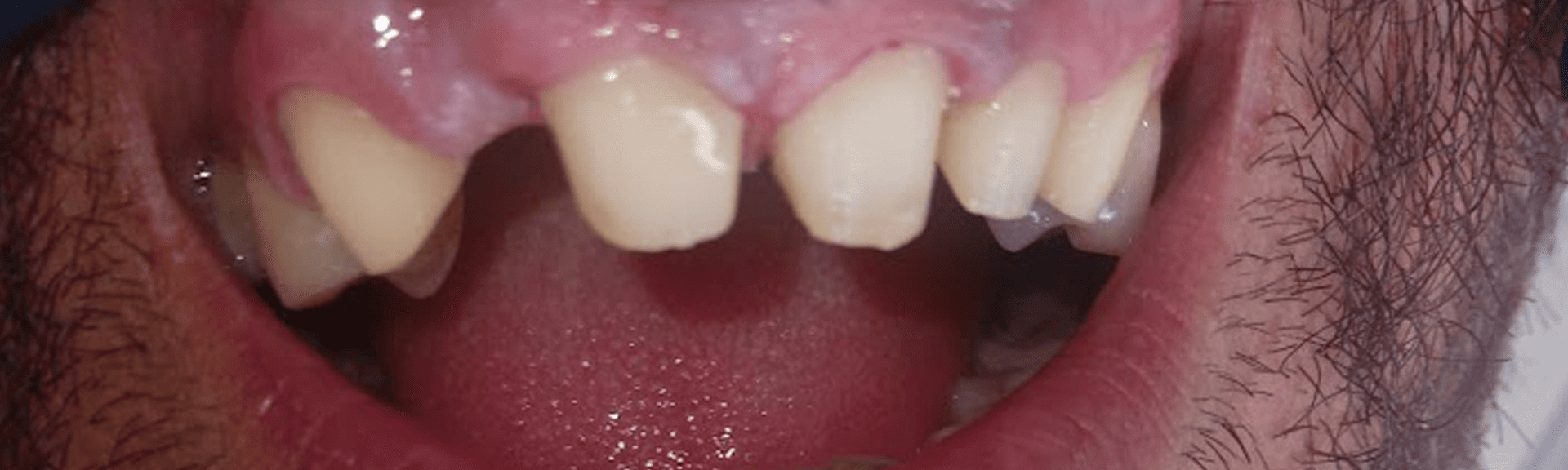
Dental Clinic Before & After Before & After Dental Implant Treatment Bu gönderiyi Instagram'da gör Dtg Dental (@dtgdentalclinic)'in paylaştığı bir gönderi Bu gönderiyi Instagram'da gör Dtg Dental (@dtgdentalclinic)'in paylaştığı bir gönderi Bu gönderiyi Instagram'da gör Dtg Dental (@dtgdentalclinic)'in paylaştığı bir gönderi