All on 4 Dental Implants

All on 4 Dental implantA healthy and aesthetic smile is a factor that significantly affects the quality of life of individuals. Today, there are many treatment methods that offer solutions for individuals with tooth loss, but All On 4 treatment is a revolution in this regard. Here is All On 4 treatment, who it is suitable for and the advantages offered by DTG Dental Clinic, one of the leading names in this field.

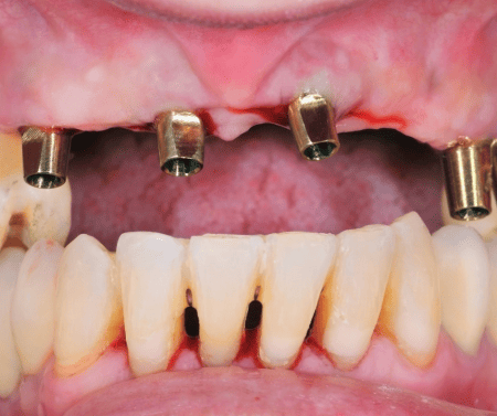
What is All On 4?

All On 4 is an innovative implant treatment method designed for individuals with missing teeth. This treatment is an ideal solution for individuals who have lost or are at risk of losing all the teeth in the mouth. As the name suggests, this treatment aims to support the entire set of teeth by using four implants.

Who is it suitable for?

All On 4 treatment offers a suitable option for many individuals. In particular

  • Those who have lost all their teeth,
  • Those who have tooth loss but are not suitable for conventional implants,
  • Those who are tired of being dependent on loose dentures,
    can benefit from this treatment method. All On 4 offers a solid and natural smile by appealing to a wide range of patients.

Advantages of All On 4 Treatment:

Fast Results: All On 4 treatment offers a faster healing process compared to other traditional implant treatments. The patient can have a healthy and aesthetic smile in a short time.

Fewer Implants: Using only four implants increases patient comfort and optimises treatment costs.

Natural Appearance and Function: All On 4 treatment provides a very similar appearance and function to natural teeth. Patients can smile and chew with confidence.

DTG Dental Clinic: The Meeting Point of Trust and Experience

All on 4 dental implantDTG Dental Clinic is one of the leading dental clinics in Antalya and has extensive experience in All On 4 treatment. With its expert dentists and clinics equipped with modern technology, DTG Dental Clinic offers reliable and effective treatments to its patients.

Experienced Staff: DTG Dental Clinic provides services with experienced dentists specialised in their field. Complex procedures such as All On 4 treatment are performed safely in expert hands.

Modern Technology: The clinic is equipped with the latest technology. This allows the treatment process to be faster, comfortable and successful.

Patient Orientated Service: DTG Dental Clinic prioritises patient satisfaction. Each patient is welcomed with a personalised treatment plan tailored to their needs.

DTG Dental Clinic stands out with its expert staff and modern facilities for All On 4 treatment, which is the guarantee of healthy smiles. You can get a healthy and aesthetic smile by choosing DTG Dental Clinic to deliver your dental health to reliable hands.